
Nell’era digitale, l’intelligenza artificiale (AI) sta rivoluzionando numerosi settori, e il mondo delle assicurazioni non fa eccezione. Grazie all’AI, le compagnie assicurative hanno iniziato a sfruttare dati e analitiche avanzate per comprendere meglio le abitudini e i bisogni dei loro clienti, spianando la strada a polizze e servizi sempre più su misura. Monitoraggio Basato sull’AI…

In un’epoca caratterizzata da una popolazione globale in invecchiamento e da una crescente richiesta di soluzioni assistenziali sostenibili, l’intelligenza artificiale (AI) emerge come una risorsa preziosa per supportare gli anziani, migliorando la loro qualità di vita e offrendo pace della mente alle loro famiglie. Supervisione Intelligente L’AI può offrire un livello di supervisione e assistenza…

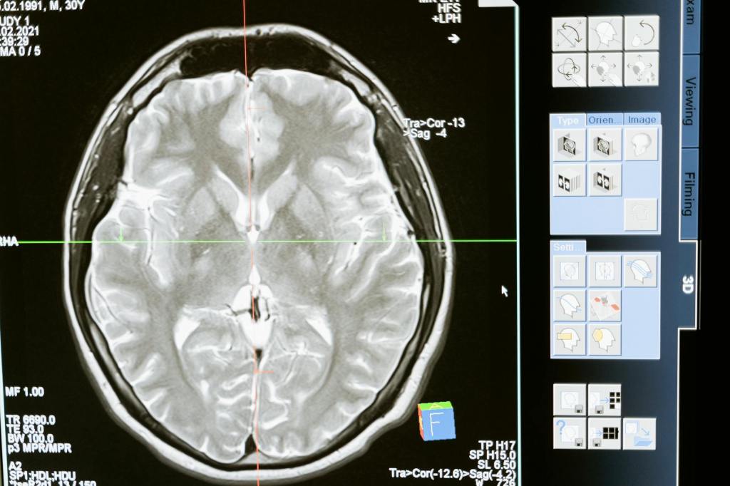
Nell’era della tecnologia avanzata, l’intelligenza artificiale (AI) emerge come un alleato fondamentale nel campo della medicina. Con capacità che vanno dall’analisi di grandi volumi di dati alla personalizzazione dei trattamenti, l’AI promette di rivoluzionare il modo in cui curiamo le malattie e prendiamo cura della nostra salute. Diagnosi Precoce e Personalizzata Uno dei principali vantaggi…